
经鼻内镜下垂体瘤手术中心
蓝康恒医院 垂体疾病诊疗中心(RAM Pituitary Center)
RAM协同医疗—— “脑垂体瘤治疗…并非所有医院都能胜任”
蓝康恒医院垂体疾病诊疗中心(RAM Pituitary Center),专注开展经鼻蝶窦垂体瘤内镜微创手术,为垂体瘤患者提供一站式诊疗与照护服务。中心由神经外科专科医生与耳鼻喉科专科医生联合手术,将外科手术学与高端医疗技术深度融合,大幅降低颅内垂体瘤手术的风险,助力患者恢复正常生活。
蓝康恒医院经鼻蝶窦垂体瘤内镜微创手术中心(RAM Pituitary Center)创立历程
蓝康恒医院脑外科由神经外科教授、荣誉医师西拉・布恩亚拉威医生领衔,长期与耳鼻喉科携手为垂体瘤患者开展诊疗,直至迎来科室发展的重要里程碑。
2005 年,耳鼻喉科医生普里潘・阿兰瓦东医生率先将内镜手术技术引入临床,替代传统的上齿龈入路或鼻中隔入路垂体瘤手术方式,开启垂体瘤微创诊疗的新方向。
2015 年,神经外科医生纳帕辛・泰金德医生加入蓝康恒医院手术团队,接续深耕垂体瘤内镜微创手术领域。团队不仅持续迭代升级手术技术,更获得院方全方位的医疗技术设备支持,凭借该微创技术为患者开展诊疗,收获了极佳的临床反馈。
历经多年技术积淀与临床实践,两大科室手术团队最终共同决议,正式成立经鼻蝶窦垂体瘤内镜微创手术中心(RAM Pituitary Center)。中心的创立,彰显了脑外科与耳鼻喉科的深度协作优势,始终以治愈垂体瘤患者为核心目标,依托两大科室医生的专业技术融合,搭配前沿的手术设备,为患者提供高安全性的垂体瘤诊疗服务。
什么是垂体腺瘤?

垂体腺瘤
占所有颅内肿瘤的 10%
绝大多数为良性肿瘤,90% 生长缓慢
肿瘤直径大于 1 厘米,称为垂体大腺瘤
肿瘤直径小于 1 厘米,称为垂体微腺瘤
经磁共振成像(MRI)检查偶然发现、多为小体积且无临床症状的,称为垂体偶发瘤
过度分泌催乳素的类型,称为催乳素瘤
瘤体发生出血的情况,称为垂体卒中
常见典型症状有 3 种:1)视力模糊 2)激素水平异常 3)突发剧烈头痛
依据激素分泌水平分为两类:功能性腺瘤(激素分泌过多)和无功能性腺瘤(无激素分泌)
需完善垂体增强磁共振成像(MRI) 检查
需完成激素水平检测、视力及视神经相关检查
治疗方案的制定以临床症状为核心依据
手术治疗为该疾病的主要治疗方式

垂体
垂体,亦译作脑垂体
“垂体(pituitary)” 一词源自古拉丁语,本义为 “黏液”;因旧时人们认为该腺体的作用是分泌黏液并流入鼻腔
垂体外形如红豆,位于鼻腔最深处、双眼之间的颅腔正中位置
其周围环绕着视神经、为大脑供血的大血管,以及第 3、4、5、6 对脑神经
核心功能为分泌多种激素,维持身体机能平衡,如促肾上腺皮质激素、生长激素、促甲状腺激素及性激素
垂体腺瘤的治疗方案分为两类:
1. 还 无需手术的垂体腺瘤:可通过症状随访、视力检查及磁共振成像(MRI)检查进行保守治疗。
2. 需干预治疗的垂体腺瘤:采取手术、放射疗方式治疗,部分病例可配合药物治疗。
垂体腺瘤鼻内镜微创手术中心的手术技术
1. 鼻内镜手术技巧
这项技术能为外科医生提供更开阔的手术视野,更全面地覆盖手术关键区域,让手术操作更精准,同时降低手术风险及术后并发症(见图)。患者头部无外部切口,术后疼痛感极轻微,因此康复速度更快,住院休养的时间也大幅缩短。
“此外,本中心还配套使用神经导航仪,为患者构建脑部三维仿真模型,在手术中精准定位病灶位置、指引操作路径,如同为外科医生配备了手术导航图,进一步为患者降低手术风险。”


诊疗成功的关键在于医疗团队的协作(RAM 协同诊疗与多专科联合诊疗模式)
多专科医生通力协作
很多人可能并不了解,垂体腺瘤的成功治疗并非仅靠外科医生手术就能实现根治,实际上还需要多达 8 组科室的医疗团队协同开展诊疗,才能为患者争取到康复的机会。

垂体腺瘤是一种与激素系统紊乱高度相关的疾病,因垂体本就是多种激素的分泌与储存中枢,每位患者的激素异常类型会根据腺瘤的生长位置而各不相同。“因此麻醉用药方案的制定,必须充分掌握每位患者的个体异常情况,才能为其规划适配的用药方案。” 术前准备工作会联合麻醉科团队共同开展,垂体腺瘤手术采用全身麻醉方式,患者术中处于无意识状态,术后可平稳苏醒且无恶心呕吐反应。这类手术为鼻内镜下经鼻入路操作,术中疼痛感通常较轻,麻醉医生会为患者使用足量且安全性最高的镇痛药物。

确诊垂体腺瘤后,内分泌科医生需完成病史采集、体格检查,并检测激素水平,判断腺瘤是否存在激素高分泌的情况。这类高分泌病症包括生长激素过多症、甲状腺激素过多症,以及促肾上腺皮质激素过多引发的库欣综合征,其中库欣综合征较为少见。而临床中最常见的激素高分泌型垂体腺瘤为催乳素瘤,这类腺瘤也是唯一一种若瘤体体积未过大时,无需手术、仅通过口服药物即可实现瘤体缩小的垂体腺瘤类型。腺瘤压迫还会引发激素分泌不足的相关症状,包括肾上腺皮质激素缺乏、甲状腺激素水平低下(术前需补充甲状腺激素)、性激素分泌不足,以及垂体后叶功能减退引发的尿崩症。内分泌科医生还需在手术过程中为患者补充肾上腺皮质激素,预防术中和术后出现肾上腺皮质功能衰竭;术后需监测患者的水电解质情况,在术后 5-7 天完成首次激素水平评估,后续每 3-6 个月复查一次激素水平。

垂体腺瘤可能压迫视神经,导致患者双眼视野异常、视力下降;若压迫第 3、4、6 对脑神经,还会造成眼外肌功能异常,使患者出现复视症状。眼科医生在该疾病诊疗中承担着重要角色,一方面负责疾病诊断:部分患者会因视力下降、复视等眼部异常症状就诊,经检查可发现其双眼颞侧视野缺损等特征性表现,为垂体腺瘤的诊断提供关键依据;另一方面负责治疗随访:通过视力和视野检查,评估腺瘤对视神经、脑神经的压迫是否缓解,同时判断腺瘤是否出现复发。

在垂体腺瘤的诊疗中,神经内科医生(Neurologist)对明确诊断起着至关重要者。这门专科医师往往是患者因疾病各类症状就诊时的首诊医师,常见症状包括头痛、头晕、肢体无力、体位性低血压;部分瘤体体积巨大的患者,还会出现视野缺损、视觉功能异常,若腺瘤内部发生出血,患者则会表现出突发剧烈头痛、呕吐、视力骤降的症状。神经内科医生会通过详细的病史采集和体格检查,分析症状产生的潜在原因,随后开具各类实验室及影像学检查,如抽血检测激素水平与电解质、脑部影像学扫描等。待明确诊断后,医生会与相关科室人员展开协作诊疗。与各相关专科医生通力合作,为患者提供全方位的诊疗与照护。

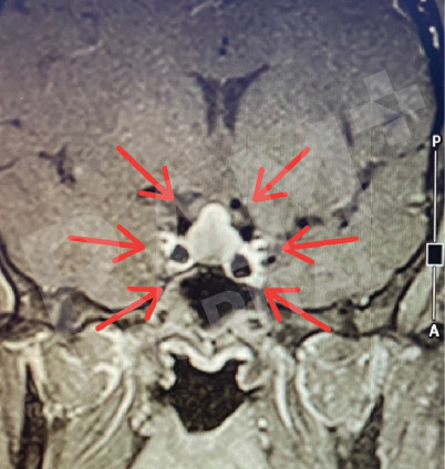
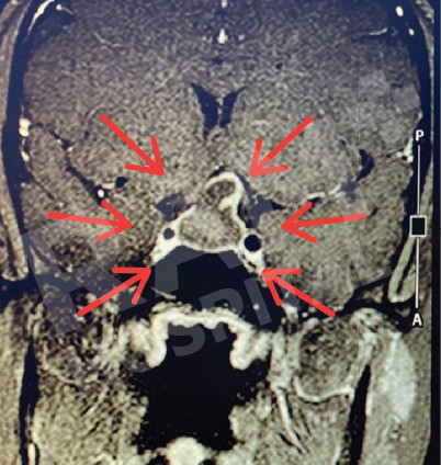
磁共振成像(MRI)可清晰、细致地显示垂体的异常病变,精准定位垂体腺瘤的位置;结合静脉造影增强检查,还能明确腺瘤的具体位置与病变性质,同时清晰呈现脑部周边组织及鼻窦的情况。这一项检查结果可为制定诊疗方案、随访评估垂体腺瘤的治疗效果,乃至规划手术方案提供明确、可靠的依据。

在为脑+部手术患者做术前准备时,心脏科医生的工作同样关键。垂体腺瘤手术属于中等影响度手术,并非如心脏手术这类高影响度u手术;加之医疗技术不断进步,如今垂体腺瘤手术已采用鼻内镜经鼻入路的方式,替代了传统的开颅手术,这也大幅降低了手术对心脏造成的并发症风险。心脏科医生的核心职责,是保障手术能够顺利开展:需要对患者的基础疾病及潜在隐匿病症进行调控,确保这类病症在手术过程中保持稳定、不急性发作。而这一切都需要基于患者的个体情况进行综合评估 —— 部分患者需要术前服药调理,部分患者则要选择合适的手术时机,这些细节都需要与外科手术团队共同商讨、制定最优方案,以此保障手术达到最佳效果。

病理科医生的职责是通过显微镜进行病理诊断,明确垂体腺瘤的具体类型,同时完成病情预后评估,并参与制定治疗方案,为患者提供最优的诊疗方案。

垂体腺瘤主要分为两类
1. 激素水平正常型
2. 激素水平异常型。对于第二类腺瘤,除手术和放射疗外,通常还需配合药物治疗,以缓解激素水平异常引发的相关症状。放疗在该疾病的治疗中,一般作为术后辅助治疗手段,适用于肿瘤复发或激素水平仍异常的患者,治疗目的是防止病情复发,进一步控制异常的激素水平。常规放疗的疗程约为 5-6 周,共 25-30 次。目前临床已应用多种新型放疗技术,包括立体定向放疗 / 外科放疗,该技术能提升治疗便利性,将放疗次数缩减至仅 1-5 次,适用于体积较小、且与视神经距离较远的病灶;还有质子放疗,该技术能大幅提高视神经的放疗安全性,尤其适用于无法进行手术治疗,或需要接受再次放疗的患者。
|
|
|
|
| 术前 | 术后 |
|
|
|
|
| 术前 | 术后 |
|
|
|
|
| 术前 | 术后 |
|
|
|
|
| 术前 | 术后 |
|
|
|
|
| 术前 | 术后 |
"About 3 months after surgery, my period returned. Overall, things improved."
Initially, I saw a gynecologist for abdominal pain and missed periods. My internal exam was normal, so they sent me for a blood test. The results showed an abnormal pituitary hormone level, so I was referred to the endocrinology department. An MRI then revealed a mass on my pituitary gland.
I was scheduled for surgery, but they found a fungal infection in my sinus cavity, so I had to have sinus surgery first. A relative then recommended Ramkhamhaeng Hospital for brain surgery, mentioning good doctors and reasonable prices. So, I researched Ramkhamhaeng Hospital for pituitary tumor surgery. I decided to take my X-ray films to Dr. Nophasin, who performed the surgery with Dr. Puripun.
"About 3 months after surgery, my period returned. Overall, things improved."
Initially, I saw a gynecologist for abdominal pain and missed periods. My internal exam was normal, so they sent me for a blood test. The results showed an abnormal pituitary hormone level, so I was referred to the endocrinology department. An MRI then revealed a mass on my pituitary gland.
I was scheduled for surgery, but they found a fungal infection in my sinus cavity, so I had to have sinus surgery first. A relative then recommended Ramkhamhaeng Hospital for brain surgery, mentioning good doctors and reasonable prices. So, I researched Ramkhamhaeng Hospital for pituitary tumor surgery. I decided to take my X-ray films to Dr. Nophasin, who performed the surgery with Dr. Puripun.